Blog

When Do I Need a Root Canal?

When Do I Need a Root Canal?

When Do I Need a Root Canal?

1. Persistent Tooth Pain

If you feel a deep, throbbing pain that doesn’t go away — especially when chewing or applying pressure — it may indicate inflammation or infection of the tooth’s pulp.

2. Extreme Sensitivity to Hot or Cold

Feeling sharp or lingering pain when drinking something cold or hot is one of the most common reasons patients end up needing a root canal.

Pay attention to these sensations: It will not always be necessary to perform root canal treatment in the presence of sensitivity, as this can be caused by lack of hygiene or periodontal problems.

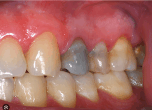
3. Darkened or Discolored Tooth

A tooth that turns gray or brown can indicate pulp damage due to trauma or infection inside the root.

4. Dental Abscess (Pimple on the Gums)

A small bump on the gums that leaks pus or causes foul taste is a clear sign of advanced infection — root canal treatment is usually required.

5. Cracked or Chipped Tooth

A fracture can expose the tooth’s inner nerve, causing severe pain and infection if left untreated.

If you experience any of these symptoms, a professional evaluation with an endodontist is the safest next step.

Why a Root Canal Is a Good Option